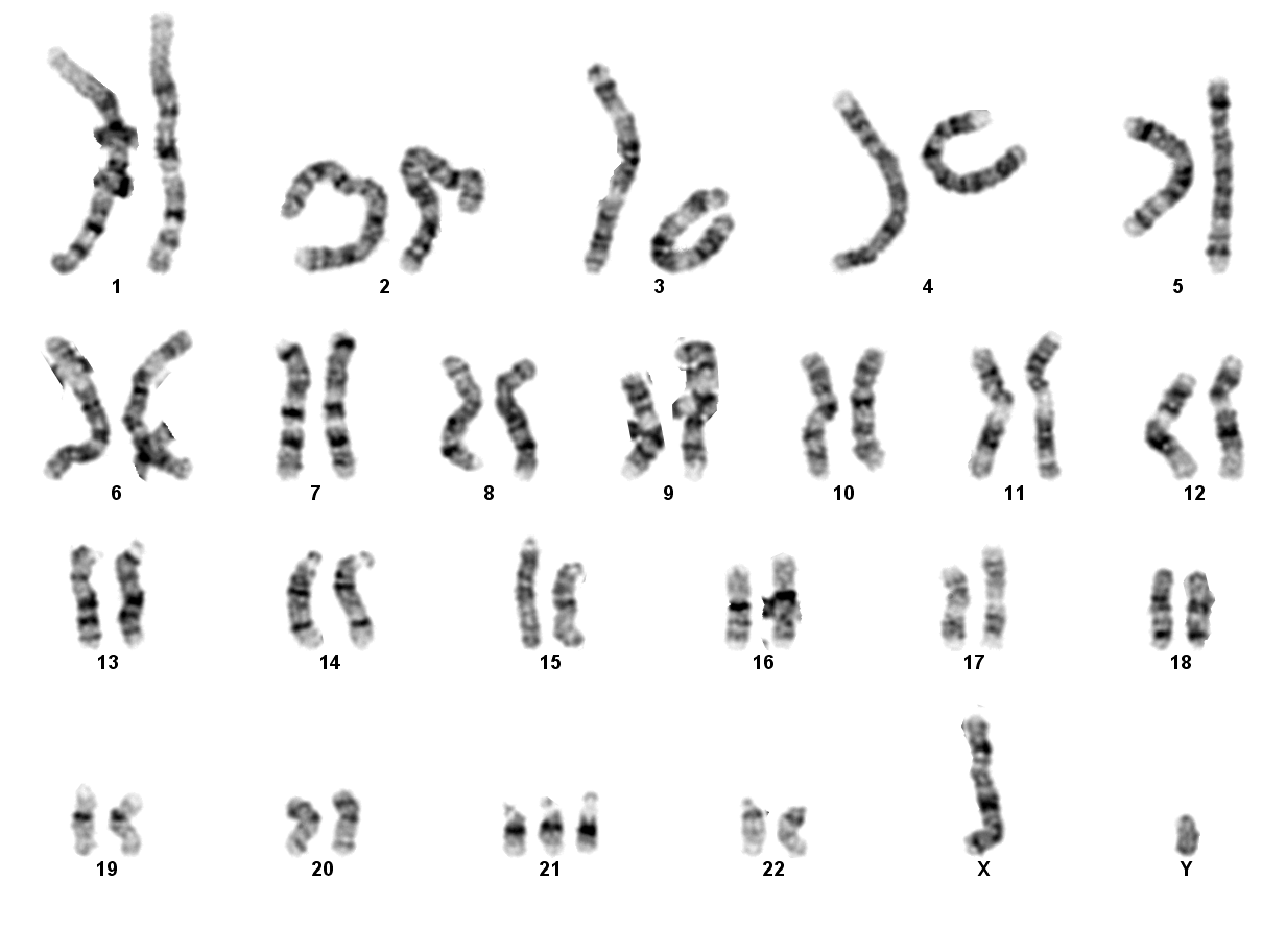
Cariotipo
En Genes realizamos cariotipos de la más alta resolución para diagnóstico, pronóstico y manejo en sospecha de anormalidades genéticas. Utilizamos la técnica de bandeo GTG para tinción y el software Ikaros 6.3 Neon, MetaSystems para su análisis.
El cariotipo en sangre periférica está indicado entre otras sospechas en anormalidades cromosómicas, abortos u óbitos frecuentes, embarazo molar, malformaciones congénitas, ambigüedad genital, sospecha de mosaicismo, desordenes mieloproliferativos y hematológicos y trastornos neoplásicos. Además para determinación o confirmación de sexo biológico a cualquier edad.
Contamos con el personal más altamente calificado en el país.


